CABINET DENTAIRE DES DRS ETIENNE ET DU DR HEYRAUD
CHIRURGIENS-DENTISTES À AIX EN PROVENCE

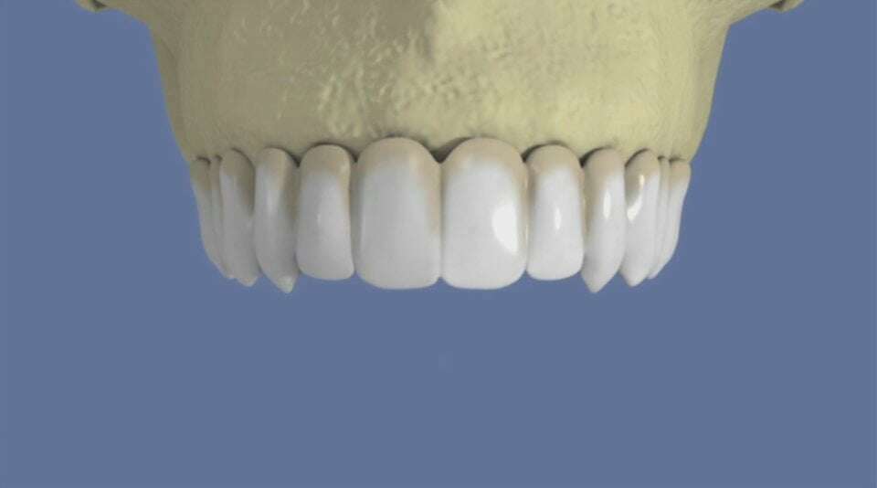
Maxillaire : bridge vissé sans fausse gencive


video-play-icon